53+ Sense Of Smell Diagram


521 Smell Diagram Images Stock Photos 3d Objects Vectors Shutterstock


Olfactory System Wikipedia


Making Sense Of Scents Smell And The Brain


The Other Senses Module Ppt Download


Smell Sensitivity Varies With Circadian Rhythm Study Suggests Brown University


5 4 Tasting Smelling And Touching Psychology 1st Canadian Edition


Metabolites Free Full Text Chemical Fingerprints Of Emotional Body Odor


Making Sense Of Scents Smell And The Brain


Sense Of Smell Wikipedia


The Senses Group One Contemporary Experimental Performance


There S Nothing Like The Smell Of Home Nbb In Paris


The Project Gutenberg Ebook Of Harvard Psychological Studies Volume Ii By Hugo Munsterberg Edn


The Five Senses Interconnected Motivation


140 Best Niches For Affiliate Marketing 2023 Updated List


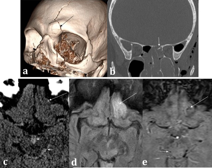
What S That Smell A Pictorial Review Of The Olfactory Pathways And Imaging Assessment Of The Myriad Pathologies That Can Affect Them Insights Into Imaging Full Text


The Chemical Senses Taste And Smell The Nervous System B The Special Senses Guyton And Hall Textbook Of Medical Physiology 12th Ed


Getting Rid Of The Overpowered T18 For The Record


521 Smell Diagram Images Stock Photos 3d Objects Vectors Shutterstock

Iklan Atas Artikel

Iklan Tengah Artikel 1

Iklan Tengah Artikel 2

Iklan Bawah Artikel